Преимущества ионной 12С лучевой терапии

Воздействие на органы, находящиеся вблизи мишени: многократное рассеяние для ионов углерода в ≈4 раза меньше, чем для протонов. Доза облучения: отношение между эффективной дозой в конце пробега к дозе во входном канале для ионов углерода больше, чем для протонов. Биологический эффект: достигается при меньших общих дозах облучения, чем для протонов; подавляет все виды опухолей, включая радиорезистентные, обеспечивая минимальное поражение здоровых тканей. Уникальная возможность использовать для контроля метод позитронной томографии: часть пучка 12С превращается в нестабильные изотопы 11С с выделением позитронов; аннигиляция с электронами рождает g-кванты, регистрация которых позволяет восстановить распределение остановившихся в мишени частиц.
Вид облучения Биологические разрушения во входном канале
(энергия облучения высока)
Биологические разрушения в области раковой опухоли
Фотонные, электронные, протонные пучки излечимые восстанавливаемые
Легкие ионы - 12C излечимые не восстанавливаемые
(эффект локальной ионизации)
Ионы тяжелее 12C "тяжелые" могут восстановиться
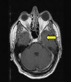
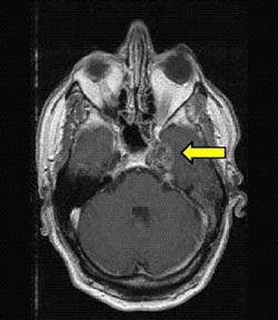
До терапии 3 месяца спустя
после ионной терапии