![]() |
![]() |
![]() |
| Медицинская установка e / g лучевой терапии |
Медицинская установка протонной лучевой терапии |
|
![]() |
![]() |
| Облучение g-квантами | Облучение протонами |

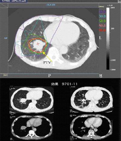
| Вид лучевой терапии |
Локализация дозы | Лечению поддаются | |
|---|---|---|---|
| резистентные опухоли | |||
| g от 60Co | плохая | + | - |
| g от e Ee≈20 МЭв + IMRT |
хорошая | + | - |
| протоны | отличная | + | - |
| нейтроны | плохая | + | + |
| ядра 12C | отличная | + | + |
